MANILA, Philippines (Apr 2025) — Filipino researchers, in collaboration with international scientists, have developed an artificial intelligence model that can detect tooth and sinus structures in dental X-rays with 98.2% accuracy. The breakthrough, led by the Ateneo Laboratory for Intelligent Visual Environments (ALIVE), aims to improve early diagnosis of odontogenic sinusitis, a condition that is often misdiagnosed as general sinusitis.
Odontogenic sinusitis stems from infections or complications related to the upper teeth. Its symptoms, including nasal congestion, foul-smelling nasal discharge, and occasional tooth pain, closely resemble those of general sinusitis. With only about one-third of patients experiencing noticeable dental pain, the condition is frequently overlooked by general practitioners. Diagnosis traditionally requires collaboration between dentists and otolaryngologists, often leading to delays in treatment.
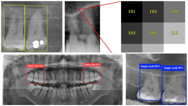
Using the YOLO 11n deep learning model, researchers trained AI to analyze dental panoramic radiographs (DPRs) with unprecedented precision. YOLO (You Only Look Once) is a high-speed object detection algorithm optimized for medical imaging. The model can pinpoint key anatomical relationships, such as the proximity of tooth roots to sinuses, in real time. Unlike conventional diagnostic methods that require multiple steps, YOLO 11n accelerates the detection process, making it a valuable tool for dental professionals.
Beyond its accuracy, the AI-driven approach offers practical advantages. It reduces the need for CT scans, minimizing patient exposure to radiation, and provides a cost-effective screening tool, particularly in areas with limited access to advanced imaging technology. By identifying potential cases early, it enables timely intervention, reducing complications and easing the burden on healthcare providers.
Dr. Patricia Angela R. Abu, head of ALIVE, led the study in collaboration with researchers from Taiwan’s Chang Gung Memorial Hospital, National Cheng Kung University, Chung Yuan Christian University, and Ming Chi University of Technology. Their findings were published in the journal “Bioengineering.”
As AI continues to reshape medical diagnostics, this technology could become a standard tool in dental and ENT clinics, ensuring more patients receive accurate and timely diagnoses.
